Sensibilità dentale e denti sensibili: cause, rimedi e quando andare dal dentista
Data di aggiornamento: 10 novembre 2025
Hai mai provato una fitta improvvisa ai denti bevendo qualcosa di freddo, o sentito i denti sensibili a un dolce o al caldo? Questi sintomi di sensibilità dentale colpiscono milioni di persone e possono cambiare il piacere dei piccoli gesti quotidiani.
Ma cosa sono realmente la sensibilità dentale e i denti sensibili e, soprattutto, come si possono risolvere? In questa guida, ti mostreremo come riconoscere i sintomi, tutte le cause più comuni e i rimedi efficaci sia per intervenire subito che per affrontare i problemi più profondi con l’aiuto del dentista.
Indice dei contenuti
- 1 Guida rapida a sensibilità dentale e denti sensibili
- 2 Video per capire com’è fatto un dente al suo interno
- 3 Sintomi della sensibilità dentale e dei denti sensibili
- 4 Cause della sensibilità dentale e perché i denti diventano sensibili
- 5 Denti sensibili: autodiagnosi e quando andare dal dentista
- 6 Rimedi per la sensibilità dentale e per i denti sensibili (da provare subito)
- 7 Trattamenti professionali dal dentista per denti sensibili
- 8 Prevenzione sensibilità dentale e denti sensibili: le regole base
Guida rapida a sensibilità dentale e denti sensibili
Cos’è?
La sensibilità dentale è un dolore acuto e temporaneo che si manifesta con denti sensibili a stimoli come freddo, caldo, zuccheri, acidi o anche al contatto con lo spazzolino.
Sintomi comuni:
Fitte brevi e intense a cibi e bevande caldi o freddi, fastidio con cibi dolci/acidi, dolore respirando aria fredda o durante la pulizia dei denti.
Cosa fare subito:
Evita cibi/bevande troppo freddi o caldi. Usa uno spazzolino a setole medie e un dentifricio specifico per denti sensibili. Se il dolore persiste, rivolgiti a un dentista.
Video per capire com’è fatto un dente al suo interno
Questo video ti mostra, in modo semplice e chiaro, le parti interne del dente: dallo smalto protettivo alla dentina più sensibile, fino alla polpa dove si trovano nervi e vasi sanguigni. In pochi secondi capirai perché alcuni stimoli (freddo, caldo o dolce) possono provocare dolore.
Sintomi della sensibilità dentale e dei denti sensibili
Il segnale più tipico è il dolore ai denti con freddo o caldo, ma la sensibilità si può manifestare in vari modi:
- Stimoli termici: gelato, acqua fredda, tè o caffè caldi
- Cibi dolci/acidi: cioccolato, agrumi, bevande gassate
- Aria fredda: disagio respirando dalla bocca
- Pressione: fastidio spazzolando i denti o usando il filo
Il dolore tende a essere breve e acuto, ma se diventa prolungato o pulsante può indicare problemi più gravi (carie, infiammazioni profonde).
Cause della sensibilità dentale e perché i denti diventano sensibili
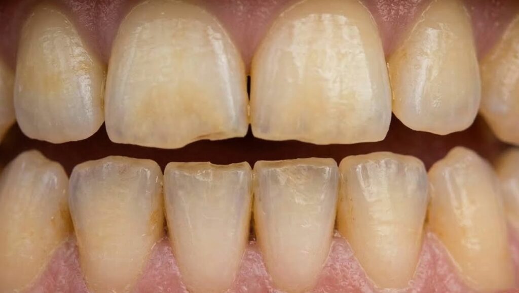
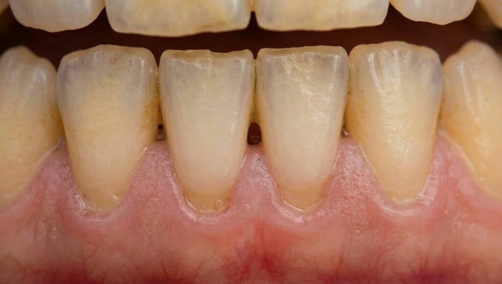
La sensibilità dentale e i denti sensibili derivano quasi sempre dall’esposizione della dentina. Le cause principali sono:
- Smalto consumato: Spazzolamento aggressivo, spazzolini duri, dentifricio abrasivo
- Recessione gengivale: Gengive ritirate per gengivite, età o parodontite
- Carie: Una carie non curata erode smalto e dentina, aumentando la sensibilità dei denti
- Bruxismo: Serrare o digrignare i denti la notte provoca microfratture nello smalto
- Sbiancamento dentale: Può causare denti sensibili soprattutto coi trattamenti fai-da-te
- Erosione acida: Consumo abituale di bevande acide, agrumi, bibite gassate
- Otturazioni usurate: Una vecchia otturazione può lasciare esposta la dentina

Denti sensibili: autodiagnosi e quando andare dal dentista
Per una sensibilità lieve o occasionale puoi provare rimedi a casa.
Quando basta il dentifricio per denti sensibili?
Se il fastidio è lieve e appare solo ogni tanto dopo cibi acidi/freddi o brushing energico, prova un dentifricio per denti sensibili (azione desensibilizzante in 2-4 settimane).
Quando è importante prenotare una visita?
Rivolgiti subito al dentista se:
- Il dolore diventa persistente o intenso, soprattutto la notte
- La sensibilità dura oltre 2-3 settimane anche usando prodotti specifici
- Noti una macchia o un dente scheggiato
- Le gengive sanguinano, sono arrossate o gonfie
- Un’otturazione si è staccata o si muove
Ignorare questi segnali può peggiorare il quadro e comportare trattamenti più invasivi.
Rimedi per la sensibilità dentale e per i denti sensibili (da provare subito)
- Spazzolamento delicato: Usa uno spazzolino con setole medie e movimenti circolari
- Prodotti desensibilizzanti: Dentifrici e collutori per denti sensibili (nitrato di potassio, fluoruro stannoso)
- Correzione dieta: Riduci alimenti acidi e dolci, risciacqua la bocca e attendi 30 min prima di lavarti i denti dopo cibi acidi
Trattamenti professionali dal dentista per denti sensibili
Quando i rimedi casalinghi non bastano, il dentista può intervenire con:
- Vernici o gel al fluoro: Sigillano i tubuli della dentina
- Bonding e otturazioni: Proteggono le zone scoperte o danneggiate
- Terapia carie: Rimozione carie e otturazione eliminano il dolore alla radice
- Bite personalizzati: Per il bruxismo (digrignare i denti di notte)
- Monitoraggio sbiancamenti: Sbiancamento professionale riduce il rischio di denti sensibili rispetto al fai-da-te
Prevenzione sensibilità dentale e denti sensibili: le regole base
- Routine di igiene orale: Denti puliti ma protetti con spazzolino medio e dentifricio non abrasivo
- Visite regolari: Una visita di controllo e un’igiene orale professionale ogni 6-12 mesi eviteranno lo sviluppo di denti sensibili o la progressione della sensibilità dentale
Domande Frequenti sulla sensibilità dentale e sui denti sensibili
1. La sensibilità dentale indica sempre una carie?
No, spesso deriva da smalto consumato o gengive che si ritirano, ma è consigliato comunque un controllo dal dentista.
2. Quanto dura la sensibilità ai denti?
Se temporanea (post-sbiancamento), pochi giorni. Se dovuta a usura/danni, tende a persistere senza trattamento.
3. I dentifrici per denti sensibili sono efficaci?
Sì, soprattutto per casi lievi o moderati, ma richiedono uso costante.
4. Lo sbiancamento peggiora i denti sensibili?
Può causarli in modo temporaneo: meglio affidarsi solo a trattamenti professionali.
5. La sensibilità ai denti può sparire da sola?
Raramente. Occorre intervenire sulla causa.
6. Cosa fare con un mal di denti improvviso?
Consulta subito la nostra guida sul mal di denti improvviso o contatta tempestivamente il dentista.
La sensibilità dentale e i denti sensibili non devono limitarti nella vita di tutti i giorni!
Prenota ora la tua visita di controllo per individuare la causa e risolvere definitivamente il problema.
Dott. Antonio Chellini
Il Dott. Antonio Chellini è un igienista dentale specializzato in tecniche parodontali non invasive e protocolli avanzati di sbiancamento dentale. Ha maturato una solida esperienza nella prevenzione, nel mantenimento dei tessuti orali e nell’educazione del paziente, offrendo consigli pratici per una corretta igiene e trattamenti di ultima generazione. Seguendo un aggiornamento continuo e un approccio basato sull’evidenza, si dedica a migliorare la salute e il sorriso dei suoi pazienti. Scopri la pagina autore per approfondire il suo percorso professionale.