Gengive Ritirate: Tutte le Novità e Soluzioni Aggiornate
Articolo aggiornato il 17 novembre 2025
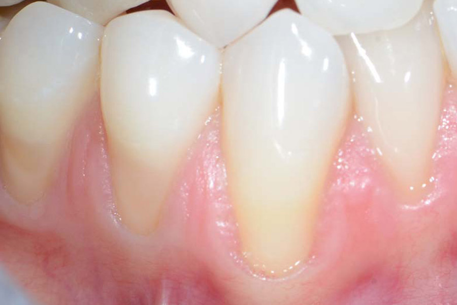
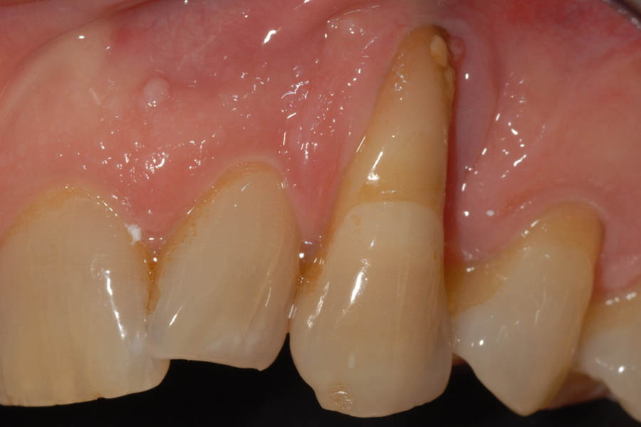
La recessione gengivale è una condizione in cui il margine della gengiva si ritira, esponendo la radice del dente. Questo problema, noto anche come gengive ritirate o gengive retratte, può iniziare in età giovanile e manifestarsi in modo più evidente dopo i 40 anni.
Oltre a compromettere l’estetica del sorriso, causando l’impressione di avere denti più lunghi e dal colore non uniforme, la recessione gengivale può portare a sensibilità dentale e aumentare il rischio di altre patologie. Una delle cause più comuni è uno spazzolamento scorretto e troppo energico, spesso eseguito con spazzolini a setole dure.
La nostra esperienza clinica presso Clinica Villa, sotto la supervisione del Dott. Gabriele Villa, consente di affrontare queste condizioni con le tecniche più avanzate e una particolare attenzione alle esigenze individuali dei pazienti.
In questo articolo, esploreremo in dettaglio le cause, i sintomi e i rimedi per le gengive ritirate, fornendo una guida completa per affrontare e risolvere il problema.
Indice dei contenuti
- 1 Cause delle recessioni gengivali
- 2 Sintomi delle gengive ritirate
- 3 Rimedi e cura per la recessione gengivale
- 4 Le gengive retratte possono ricrescere?
- 5 Rimedi naturali per le gengive ritirate
- 6 Perché non sottovalutare il problema
- 7 Costo del trattamento per la recessione gengivale
- 8 Domande Frequenti (FAQ)
- 9 La testimonianza di Alessandra
- 10 Recessioni gengivali e chirurgia estetica
Cause delle recessioni gengivali
Le cause che portano alle gengive ritirate sono diverse e possono essere raggruppate in quattro categorie principali.
Predisposizioni fisiologiche
- Gengiva sottile: un biotipo gengivale fine è più suscettibile al trauma.
- Radici sporgenti: la posizione delle radici può rendere la gengiva più vulnerabile.
- Denti ruotati: un allineamento non corretto può creare tensioni sul tessuto gengivale.
- Frenulo: un frenulo labiale con un’inserzione troppo vicina al margine gengivale può ostacolare l’igiene e tirare la gengiva.
Cause traumatiche
- Spazzolamento scorretto: l’uso di spazzolini con setole dure o una tecnica di spazzolamento orizzontale può danneggiare le gengive.
- Filo interdentale usato male: un uso aggressivo può ledere il tessuto gengivale.
- Piercing: i piercing su labbra o lingua possono causare traumi meccanici continui (leggi i rischi dei piercing orali).
- Malocclusione dentale: un contatto errato tra i denti può generare forze anomale (rimedi per malocclusione).
- Trattamenti ortodontici: in alcuni casi, lo spostamento dei denti può favorire la recessione (leggi tutto sull’ortodonzia).
- Restauri dentali incongrui: corone, ponti o otturazioni con margini imprecisi possono irritare la gengiva.

Cause virali
- Herpes Simplex: può causare lesioni che, guarendo, lasciano una recessione.
Cause batteriche
- Placca batterica: l’accumulo di placca sul bordo gengivale provoca infiammazione (approfondisci la placca batterica).
- Parodontite (piorrea): questa malattia, causata da placca e tartaro, porta alla distruzione dei tessuti di supporto del dente, inclusa la gengiva (scopri tutto sulla parodontite).
Sintomi delle gengive ritirate
I segnali che indicano la presenza di una recessione gengivale sono spesso chiari. Riconoscerli è il primo passo per intervenire tempestivamente.
I sintomi e i segni clinici più comuni includono:
- Gengive visibilmente ritirate
- Denti che appaiono più lunghi del normale
- Aumentata sensibilità dentale al caldo e al freddo
- Accumulo di placca e tartaro lungo il margine gengivale
- Gengive rosse, gonfie o sanguinanti (vedi rimedi gengive gonfie)
- Disagio o dolore durante lo spazzolamento
Rimedi e cura per la recessione gengivale
La scelta del trattamento per le gengive retratte dipende dalla gravità della condizione e dai sintomi associati.
Trattamento non chirurgico
Se la recessione è minima, non causa problemi estetici né sensibilità e l’igiene è facile, l’approccio conservativo è la scelta migliore. Questo include:
- Migliorare l’igiene orale domiciliare con tecniche corrette (guida all’igiene orale).
- Programmare sedute di igiene professionale più frequenti.
- Monitorare la situazione con misurazioni e fotografie periodiche.
Trattamento chirurgico
Presso Clinica Villa, il Dott. Gabriele Villa è riconosciuto come uno dei principali esperti a livello nazionale nell’ambito della chirurgia mucogengivale, applicando le tecniche più moderne e mini-invasive per la cura della recessione gengivale.
Si ricorre alla chirurgia quando la recessione gengivale causa problemi estetici significativi, ipersensibilità, difficoltà di pulizia o precede un trattamento ortodontico. L’obiettivo è ricoprire la radice esposta con un innesto di tessuto. Le moderne tecniche microchirurgiche sono mini-invasive e permettono di trattare più denti in una sola seduta con un disagio post-operatorio minimo.
Tecniche chirurgiche a confronto:
- Tecnica Pinhole®: il Dott. Gabriele Villa è stato tra i primi professionisti in Europa a implementare questa tecnica innovativa che non usa bisturi né suture, ma riposiziona la gengiva esistente attraverso un piccolo foro. È indicata per recessioni multiple, ma meno predicibile per casi singoli o su impianti.
- Tecnica a Tunnel: permette di inserire un innesto (prelevato dal palato o sintetico) attraverso un “tunnel” creato sotto la gengiva, senza grandi incisioni e lasciando intatte le papille.
- Tecniche tradizionali (lembo spostato coronalmente): considerate le più predicibili, prevedono lo scollamento di un lembo di gengiva, l’inserimento di un innesto di tessuto connettivo prelevato dal palato e il riposizionamento del lembo per coprire la radice.
Il prelievo dal palato è doloroso? Il prelievo del palato, se non si usano delle coperture particolari nella zona del prelievo, è doloroso. Dal 2020 stiamo utilizzando un doppio strato protettivo colla+cerotto medico per garantire una protezione ancora migliore: quasi nessun paziente ha riferito fastidio postoperatorio. Il dolore e gonfiore post-operatorio sono ormai ridotti al minimo. Quando è possibile noi evitiamo il prelievo dal palato ma ricorriamo a connettivi sintetici. Gli ultimi studi scientifici hanno dimostrato che si ottengono ottimi risultati con prelievi di tessuto palatale molto ridotti. Il prelievo dal palato, quindi, anche per questa ragione, è divenuto quasi asintomatico. - Innesto di gengiva sintetico: grazie ai moderni biomateriali (matrici in collagene), oggi è spesso possibile evitare il prelievo dal palato, rendendo l’intervento più veloce e confortevole.


Tutte queste tecniche sono state approfondite in corsi e congressi internazionali a cui il Dott. Gabriele Villa ha partecipato, aggiornandosi costantemente sulle ultime innovazioni per offrire ai pazienti i risultati migliori.
Le gengive retratte possono ricrescere?
Una domanda comune è se le gengive ritirate possano ricrescere da sole. La risposta è no. Una volta perso, il tessuto gengivale non si rigenera spontaneamente.
Il Dott. Gabriele Villa sottolinea che, dopo il trattamento di una malattia parodontale e con un’igiene scrupolosa, la gengiva può apparire più sana e tonica, ma non ricrescerà a coprire la radice esposta. L’unico modo per ottenere una copertura completa è attraverso un intervento di chirurgia muco-gengivale.
Rimedi naturali per le gengive ritirate
Molti siti web promuovono rimedi naturali come aloe vera, curcuma o tea tree oil per curare le gengive. Sebbene questi prodotti abbiano proprietà antinfiammatorie, non possono far ricrescere il tessuto perduto.
Secondo il parere del Dott. Gabriele Villa, il loro ruolo è di supporto: possono aiutare a controllare l’infiammazione gengivale se usati insieme a una corretta igiene orale. Ma per correggere una recessione gengivale già formata, la chirurgia resta l’unica soluzione efficace.



Perché non sottovalutare il problema
Ignorare le gengive retratte, specialmente in persone con gengive sottili, può portare a un peggioramento progressivo. La radice esposta non solo causa sensibilità, ma è anche più suscettibile alla carie. L’accumulo di placca diventa più difficile da rimuovere, aumentando il rischio di infiammazione e parodontite, che nei casi più gravi può portare alla perdita del dente (approfondisci perché trattare la recessione gengivale).
Un consulto tempestivo con uno specialista esperto come il Dott. Gabriele Villa permette di valutare la soluzione più efficace e sicura per ogni paziente.
Costo del trattamento per la recessione gengivale
Il costo di un intervento per la recessione gengivale varia in base a diversi fattori: la gravità e l’estensione del problema, il numero di denti da trattare e la tecnica chirurgica scelta.
È indispensabile una visita specialistica per una valutazione clinica e radiografica completa. Solo dopo aver definito gli obiettivi e discusso le aspettative con il paziente, è possibile formulare un preventivo preciso. In generale, i costi possono variare da poche centinaia a diverse migliaia di euro.
Presso la Clinica Villa, il Dott. Gabriele Villa garantisce un approccio personalizzato, spiegando nel dettaglio ogni fase del percorso e mettendo a disposizione tecniche moderne e materiali all’avanguardia.

Domande Frequenti (FAQ)
Cos’è la recessione gengivale?
La recessione gengivale, o gengive ritirate, è lo spostamento del margine gengivale verso l’apice della radice del dente, lasciandola scoperta. Questo può causare problemi estetici e funzionali; per approfondire leggi anche il nostro articolo sulla parodontite.
Come si possono bloccare le gengive che si ritirano?
Per arrestare la progressione delle gengive retratte, è cruciale adottare una corretta tecnica di spazzolamento con uno spazzolino a setole morbide, usare il filo interdentale delicatamente e sottoporsi a controlli dentistici regolari. Approfondisci i consigli nella nostra guida su igiene orale.
Le gengive ritirate possono ricrescere da sole?
No, il tessuto gengivale perso non può ricrescere spontaneamente. L’unico modo per ripristinare la copertura della radice esposta è tramite un intervento chirurgico parodontale. Scopri tutto sui diversi trattamenti gengivali disponibili. Il Dott. Gabriele Villa consiglia sempre una valutazione clinica accurata per definire la strada migliore in base al caso specifico.
Quale dentifricio usare per le gengive ritirate?
È consigliabile utilizzare un dentifricio specifico per gengive sensibili o per il trattamento dei problemi gengivali, preferibilmente poco abrasivo. Chiedi consiglio al tuo dentista o igienista per un prodotto adatto a te oppure dai uno sguardo all’articolo sui rimedi gengive gonfie.
Quanto costa rifare le gengive?
Il costo per un intervento di ricostruzione gengivale dipende dalla complessità del caso, dal numero di denti coinvolti e dalla tecnica utilizzata. Una visita specialistica è necessaria per ottenere un preventivo dettagliato; per maggiori dettagli consulta anche i nostri casi clinici. Affidarsi all’esperienza del Dott. Gabriele Villa permette di avere un percorso chiaro e personalizzato.
Cosa fare per i colletti dentali scoperti?
I colletti scoperti, conseguenza delle gengive ritirate, possono essere trattati con interventi di chirurgia muco-gengivale per ricoprire la radice. In alternativa, si possono applicare materiali desensibilizzanti o eseguire delle otturazioni se è presente un’abrasione. Scopri di più sui trattamenti per colletti dentali e sulle possibili soluzioni. In caso di dubbi, una visita con il Dott. Gabriele Villa aiuta a individuare la soluzione più adatta.








La testimonianza di Alessandra
Paziente con recessioni gengivali. Trattata con innesti gengivali e faccette dentali.

Recessioni gengivali e chirurgia estetica
Scopri le cause e come intervenire!
Inserisci il tuo indirizzo email per ricevere l’ebook gratuito “Recessioni gengivali e chirurgia estetica”"*" indica i campi obbligatori
Dott Gabriele Villa
Laureato presso l’Università degli Studi di Milano nell’anno 2010. Ha conseguito un “Post Graduate Program” alla New York University con una tesi sull’aumento dei tessuti molli intorno agli impianti. “Current Concepts in American Dentistry: Advances in Implantology and Oral Rehabilitation” 2018.