Caso clinico di implantologia dinamica
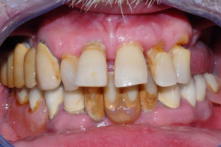
Marco 60 anni soffriva da anni di parodontite cronica sia nell’arcata superiore che nell’arcata inferiore. Era stato riferito da un collega di Milano.
Abbiamo deciso di iniziare le cure dall’arcata superiore. In questa zona, la malattia aveva causato un forte ritiro delle gengive e la formazione di spazi profondi (tasche parodontali), portando allo spostamento dei denti anteriori. La situazione era così compromessa che è stato subito chiaro come non fosse possibile salvare i denti naturali.
Indice dei contenuti
le esigenze del paziente
Marco aveva una richiesta molto chiara: voleva evitare la tecnica “All on 4” e non desiderava avere una finta gengiva artificiale.
In casi clinici così complessi, la soluzione più comune proposta da molti studi è proprio l’All on 4. Questa tecnica prevede l’estrazione dei denti e la rimozione di una parte dell’osso rimasto per fare spazio a una protesi che include una gengiva finta.
La filosofia della nostra Clinica, tuttavia, è orientata verso una chirurgia che rispetti l’anatomia del paziente. Negli interventi post-estrattivi cerchiamo di evitare le procedure più invasive. Per questo motivo, anche in una situazione difficile come quella di Marco, abbiamo scelto il nostro protocollo di chirurgia mini-invasiva. L’obiettivo principale era permettere ai nuovi denti fissi di uscire direttamente dalla sua gengiva naturale.
Sempre più pazienti, spinti da forti esigenze estetiche, si rivolgono a noi proprio per cercare valide alternative alle riabilitazioni con gengiva artificiale.


Analisi del caso
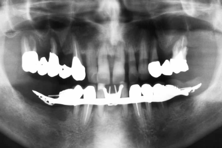
Guardando la prima radiografia panoramica, sembrava che Marco non avesse abbastanza osso nella parte superiore destra per inserire gli impianti. La malattia parodontale aveva infatti consumato molto tessuto osseo nella zona dei premolari.
Normalmente, per risolvere questo problema e posizionare gli impianti, si ricorre a un intervento chiamato rialzo del seno mascellare, che consiste nell’aggiungere osso nella mascella. Per evitare a Marco questa procedura invasiva, ci siamo affidati all’implantologia dinamica.
Abbiamo eseguito una TAC e, grazie a un software avanzato, abbiamo creato un modello 3D del suo cranio. Questa tecnologia ci ha permesso di scovare una zona di osso nascosta, situata dietro il seno mascellare, di ottima qualità e perfetta per accogliere un impianto. Questa porzione di osso era completamente invisibile dalla semplice radiografia tradizionale.
Operando in sedazione cosciente, abbiamo estratto i denti compromessi e inserito immediatamente 5 impianti dentali. Nel giro di 24 ore, Marco ha ricevuto i suoi denti provvisori fissi.
L’intervento di Marco
L’uso del software ci ha permesso di sfruttare l’osso naturale residuo del paziente, che è sempre il materiale migliore su cui lavorare. In questo modo abbiamo potuto applicare il protocollo del carico immediato, offrendo a Marco denti fissi in pochissimo tempo, un risultato impossibile da raggiungere se avessimo dovuto fare innesti ossei complessi.
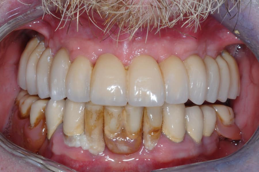
Gli impianti sono stati posizionati in punti strategici per ottenere due risultati fondamentali: far uscire i denti direttamente dalla gengiva naturale di Marco e chiudere gli spazi antiestetici che si erano creati a causa della malattia.



Conclusioni
Il caso di Marco dimostra come la tecnologia moderna possa fare la differenza in odontoiatria. L’implantologia computer dinamica ci ha permesso di trovare osso utile dove sembrava non esserci, evitando al paziente dolorosi interventi di innesto osseo e riducendo drasticamente i tempi di guarigione.
Grazie a un approccio mini-invasivo, Marco ha ritrovato un sorriso stabile e sicuro, con denti fissi che emergono in modo armonioso dalle sue gengive naturali, rispettando a pieno le sue richieste estetiche e funzionali.
Visto l’ottimo risultato ottenuto nell’arcata superiore e il rapido recupero, ora Marco è pronto e sereno per procedere con l’intervento anche nella parte inferiore.
Dott Gabriele Villa
Laureato presso l’Università degli Studi di Milano nell’anno 2010. Ha conseguito un “Post Graduate Program” alla New York University con una tesi sull’aumento dei tessuti molli intorno agli impianti. “Current Concepts in American Dentistry: Advances in Implantology and Oral Rehabilitation” 2018.