Categoria: Servizi
La devitalizzazione dentale o trattamento endodontico consiste nella rimozione del tessuto pulpare infetto della corona e della radice.
Coronavirus e dentista
La stretta vicinanza fisica fra operatore e paziente, inferiore ad un metro e gli strumenti rotanti come il trapano, potrebbero facilitare la propagazione del...
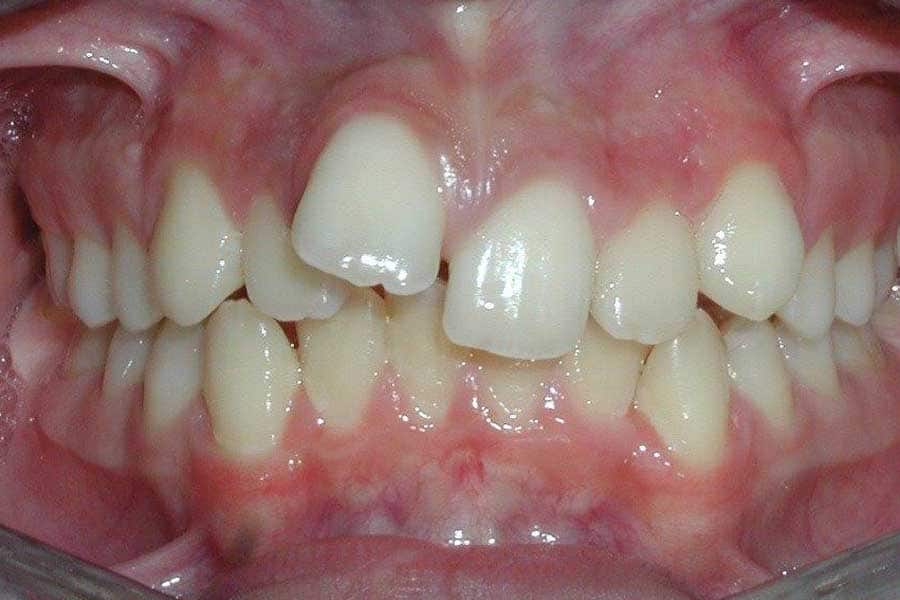
Malocclusione Dentale: Come Riconoscerla e Trattarla
La malocclusione dentale può influire su comportamenti come la funzione masticatoria e la fonetica. Scopri come rimediare
Ascesso dentale come curarlo
Ascesso dentale si riconosce e come si cura? Ascesso parodontale, ascesso periapicale, ascesso gengivale.
Denti da latte
I denti da latte. Sottolineiamo l'importanza dei denti primari che, se curati e controllati, potranno facilitare la comparsa dei definitivi sani ed assicurare...
Esperienza con gli impianti dentali, intervista a Giorgio
Esperienza con gli impianti dentali. Il paziente Giorgio ci racconta la sua infelice esperienza con l'implantologia dentale . Ha avuto dei problemi e ha chiesto...
Alitosi, cause e rimedi
L’alitosi rappresenta spesso un sintomo di paradontosi precoce che il soggetto può iniziare ad avvertire prima di qualsiasi altro disturbo.
Infezioni crociate cosa sono e come evitarle
Parliamo delle procedure e gli strumenti che garantiscono una completa sterilizzazione dell'ambiente e degli strumenti di lavoro. Le infezioni in uno studio dentistico...
Cancro della bocca cause comuni
Parliamo delle cause del cancro alla bocca e suggeriamo poche semplici regole per prevenirlo.
Igienista Dentale, chi è e di che cosa si occupa?
L'importanza di una visita dall'Igienista Dentale: la situazione dei vostri denti sarà sempre sotto controllo.