Caso Clinico di Alfonso
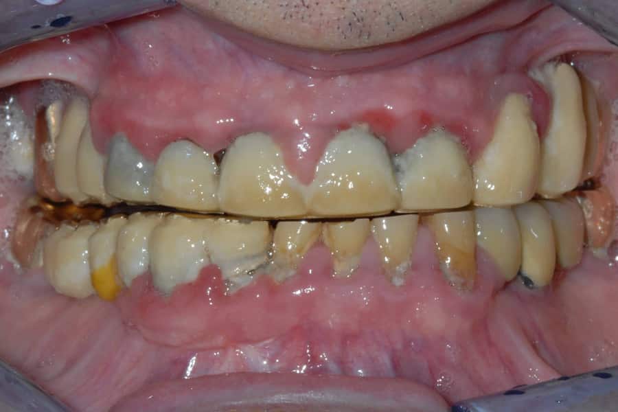
Un paziente cardiopatico si è presentato alla nostra osservazione con un quadro complicato da problemi sia di carie che di parodontite (piorrea).
Indice dei contenuti
Chirurgia mini-invasiva: analisi del caso
La mobilità degli elementi dentari dovuti alla piorrea era evidente ed è stata progettata, per l’arcata superiore, una riabilitazione totale.
La terapia anticoagulante che il paziente cardiopatico seguiva è stata sospesa qualche giorno prima dell’intervento. Tutto in accordo con il cardiologo di Pavia che lo stava seguendo.
Il software di pianificazione chirurgica computer guidata, creando una visualizzazione tridimensionale della TAC Cone Beam, ci ha permesso di pianificare l’intervento di implantologia dentale in base alle zone più favorevoli di osso residuo.
Era consigliabile, vista la tipologia di paziente cardiopatico, optare per una chirurgia mini-invasiva che ci avrebbe assicurato :
- ridotto rischio di sanguinamento intra e post-operatorio
- tempi di guarigione ridotti, in quanto non viene interrotto il supporto vascolare (assenza di edema)
- ottimale guarigione dei tessuti molli per assenza di cicatrici gengivali post-operatorie
- assenza o ridotta sintomatologia dolorosa post-operatoria
- minimo edema post-operatorio
- riduzione dei rischi di infezione post-operatoria
Le fasi dell’intervento
Al paziente, sempre sotto in sedazione cosciente, sono stati rimossi i denti interessati ed inseriti gli impianti. Con un carico immediato nel giro 24 ore sono state posizionate le corone provvisorie avvitate sugli impianti con un risultato estetico molto soddisfacente.
Sottolineiamo la situazione di partenza ed il risultato finale:


Le controindicazioni per gli interventi di Implantologia dentale sono veramente limitate. Parecchi pazienti con patologie particolari possono accedere, in tutta sicurezza, ad una riabilitazione con impianti dentali.
Dott Gabriele Villa
Laureato presso l’Università degli Studi di Milano nell’anno 2010. Ha conseguito un “Post Graduate Program” alla New York University con una tesi sull’aumento dei tessuti molli intorno agli impianti. “Current Concepts in American Dentistry: Advances in Implantology and Oral Rehabilitation” 2018.
Siamo a tua completa disposizione per una consulenza specialistica.
Ven: 08:30–16:00
Sab-Dom: Chiuso
Compila il modulo per una valutazione preliminare.