Vecchie otturazioni in metallo: quando è davvero necessario sostituirle?
Hai presente quelle vecchie otturazioni color argento o grigio scuro che si notano ogni volta che ridi? Si chiamano amalgame dentali e per decenni sono state lo standard in odontoiatria. Sebbene siano materiali molto resistenti, oggi molti pazienti scelgono di sostituirle. I motivi non sono solo estetici: spesso nascondono infiltrazioni, fratture o sollevano dubbi sulla loro composizione.
Tuttavia, rimuovere un’otturazione in amalgama non è una procedura banale come una semplice pulizia dei denti. Richiede un protocollo di sicurezza rigoroso per proteggere la tua salute e quella degli operatori.
Indice dei contenuti
Perché sostituire l’amalgama?
Oltre all’evidente inestetismo del “sorriso metallico”, ci sono ragioni cliniche importanti. L’amalgama è un materiale rigido che non si lega chimicamente al dente, ma viene incastrato meccanicamente. Con il tempo, questo può creare delle micro-fratture nella struttura dentale residua, indebolendola.
Inoltre, è frequente che sotto una vecchia otturazione apparentemente intatta si nascondano processi cariosi o problemi che potrebbero evolvere in un’infiammazione silenziosa, minacciando la vitalità del dente senza dare dolore immediato.
Il Protocollo di Rimozione Protetta
La preoccupazione principale riguarda il mercurio, componente fondamentale dell’amalgama. Durante la rimozione, se non eseguita correttamente, si possono generare vapori. Per questo motivo, in Clinica Villa adottiamo un protocollo di sicurezza avanzato che azzera i rischi.
Ecco come funziona:
- Isolamento assoluto: Utilizziamo sempre la diga di gomma, un foglio in lattice (o materiale anallergico) che isola il dente dal resto della bocca. Questo impedisce che frammenti di amalgama vengano ingeriti o inalati e protegge le mucose.
- Aspirazione ad alta velocità: Posizioniamo un aspiratore dedicato proprio sopra il dente per catturare istantaneamente vapori e polveri.
- Tecnica di taglio a freddo: L’amalgama viene rimossa sezionandola in grandi blocchi per minimizzare la polverizzazione, utilizzando frese specifiche e abbondante irrigazione.



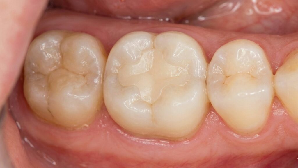
Il risultato: estetica e biocompatibilità
Una volta rimossa l’amalgama e bonificato il dente, procediamo alla ricostruzione. Oggi utilizziamo materiali compositi o intarsi in ceramica altamente biocompatibili che restituiscono al dente il suo aspetto naturale e la sua resistenza originaria.
Non si tratta solo di bellezza: eliminare metalli e vecchi restauri incongrui è un passo avanti per migliorare la tua salute generale, eliminando potenziali focus infettivi e tossici dalla bocca.
FAQ – Domande Frequenti sulla Rimozione Amalgama
Fa male togliere le vecchie otturazioni in metallo? Assolutamente no. L’intervento viene eseguito in anestesia locale, quindi è completamente indolore. Grazie all’uso della diga di gomma, inoltre, non sentirai sapore di metallo o liquidi in bocca durante la procedura.
È pericoloso ingerire mercurio durante la rimozione? Senza le adeguate precauzioni potrebbe esserlo, ma il nostro protocollo di rimozione protetta prevede l’isolamento totale del dente tramite diga e un sistema di aspirazione ad alta potenza dedicato. Questo garantisce che né frammenti né vapori vengano ingeriti o inalati.
Posso sostituire tutte le mie otturazioni grigie in una volta sola? Dipende dal numero e dalla dimensione. Se sono poche, è possibile farlo in un’unica seduta. Se sono molte o molto estese, preferiamo programmare appuntamenti divisi per zone della bocca, per mantenere le sedute brevi e confortevoli.
Quanto durano le nuove otturazioni bianche? I materiali compositi moderni e gli intarsi in ceramica hanno una durata eccellente, paragonabile all’amalgama. Il grande vantaggio è che, legandosi chimicamente al dente, ne rinforzano la struttura residua invece di indebolirla come faceva il metallo.
🔬 L’angolo della Ricerca
Titolo: Effetti psicologici e medici dell’assunzione di mercurio dall’amalgama dentale. Un rapporto di stato per l’American Journal of Dentistry Data: 1999 Autori: J. W. Osborne, J. E. Albino Fonte: PubMed
Conclusione
Rimuovere le vecchie otturazioni non è solo un vezzo estetico, ma un investimento sulla salute a lungo termine. Grazie ai moderni protocolli di sicurezza, oggi non devi più temere l’esposizione al mercurio o il rischio di ingoiare frammenti: la procedura è totalmente controllata e ti restituirà un sorriso non solo più luminoso, ma anche più sano, resistente e privo di metalli.
Prenota il tuo controllo
Hai ancora delle otturazioni scure e vuoi verificare se sono integre o se nascondono infiltrazioni? Non aspettare che il dente si fratturi. Contattaci per programmare una visita di controllo: valuteremo insieme lo stato delle tue amalgame e pianificheremo, se necessario, una rimozione protetta in totale sicurezza.
📞 Chiama lo 015.352.481 o scrivici per prenotare il tuo appuntamento.
Dott.ssa Marta Lupato
Laureata in Odontoiatria e Protesi Dentaria presso l’Università degli Studi di Torino. Svolge la sua attività clinica dedicandosi prevalentemente alla restaurativa estetico adesiva, endodonzia, pedodonzia e protesi fissa.
Siamo a tua completa disposizione per una consulenza specialistica.
Ven: 08:30–16:00
Sab-Dom: Chiuso
Compila il modulo per una valutazione preliminare.