
Caso Clinico di implantologia dopo ricostruzione ossea
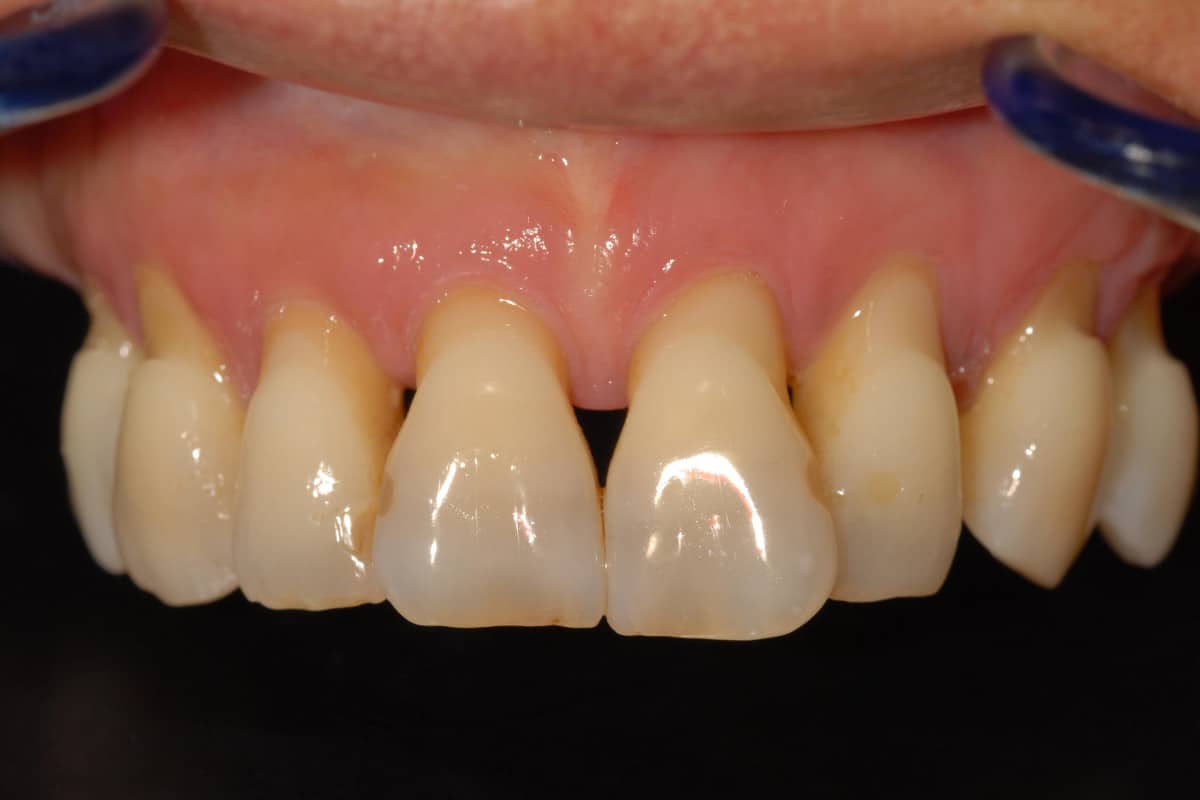
Il paziente di settantasette anni, inviato da un collega di Novi Ligure, portava da circa 30 anni, sull’arcata superiore, una piccola protesi parziale(scheletrato).
Indice dei contenuti
Descrizione paziente
Durante la visita aveva dichiarato di non avere al momento dei problemi funzionali urgenti tali da impedirgli la masticazione, ma si rendeva conto che i denti residui di supporto alla sua protesi mobile si stavano deteriorando in modo preoccupante ed inarrestabile.
Tra l’altro, aveva avuto da poco tempo la spiacevole sorpresa di perderne uno. Il paziente, in parole povere, voleva prevenire il disagio di sentire un giorno “ ballare” la sua protesi mobile e si dimostrava fermamente motivato a riabilitarsi con l’Implantologia dentale.
Innalzamento del seno mascellare: analisi del caso
I denti residui dell’arcata superiore sono apparsi subito irrecuperabili e, dalle indagini radiologiche effettuate al paziente (panoramica TAC Cone Beam), si è evidenziato che entrambi i seni mascellari erano molto espansi. (Da notare che più l’età del paziente avanza, più è probabile che il seno mascellare si espanda).
In queste condizioni è parsa chiara l’impossibilità di individuare aree di osso residuo nelle zone posteriori da poter sfruttare per l’inserimento degli impianti.
Si è valutato, altresì, che l’osso zigomatico non forniva garanzie sufficienti di densità e spessore. Il suo eventuale utilizzo per inserire un impianto zigomatico appariva azzardato, per cui si è deciso di procedere con i due rialzi del seno mascellare e contemporanea rigenerazione ossea guidata (innesto osseo di biomateriale).
La decisione della scelta di questo tipo di intervento è stata concordata con il paziente. Si è infatti considerato che il disagio di dovere portare la protesi mobile per altri nove mesi, in attesa dei tempi necessari dopo il rialzo dei seni mascellari con innesto di biomateriale, era irrilevante, visto che era una situazione con cui il paziente stesso conviveva da moltissimi anni.
Protocollo di chirurgia mini invasiva
Al paziente, in sedazione cosciente, è stato effettuato il rialzo del seno mascellare sia destro che sinistro, con contemporaneo innesto di biomateriale (protocollo di tecnica rigenerativa). Nel periodo di attesa di maturazione dell’innesto, il paziente ha continuato a portare la sua protesi mobile.
Dopo circa 9 mesi il paziente è ritornato e, sempre in sedazione cosciente, si sono estratti i denti residui e, con un protocollo di carico immediato post-estrattivo mini invasivo (flapless), sono stati inseriti negli alveoli post-estrattivi (le cavità rimaste dopo la rimozione dei denti) 3 impianti.
Altri 2 impianti dentali sono stati inseriti posteriormente nelle zone del rialzo dei seni mascellari, dove era stato fatto l’innesto di biomateriale. Tutti i 5 impianti presentavano un’ ottima stabilità. Nel giro di 24 ore, con il protocollo del carico immediato, al paziente è stata consegnata una protesi provvisoria fissa avvitata sugli impianti.


Il paziente, la sera stessa dell’intervento, era in grado di mangiare normalmente ed ha manifestato ampia soddisfazione per la sua riabilitazione con impianti. Ha riferito di non avere avvertito alcun dolore sia durante la fase operatoria, sia nel post- intervento.
Conclusioni
Nel caso di questo paziente si è preferito evitare un intervento difficile come l’impianto zigomatico che avrebbe avuto l’indubbio vantaggio di riabilitarlo immediatamente. Però, potendo attendere senza disagi il tempo sufficiente, è stato preferito un intervento di rialzo bilaterale del seno mascellare ed innesto di biomateriale (rigenerazione ossea guidata) che dava maggiori garanzie di riuscita.
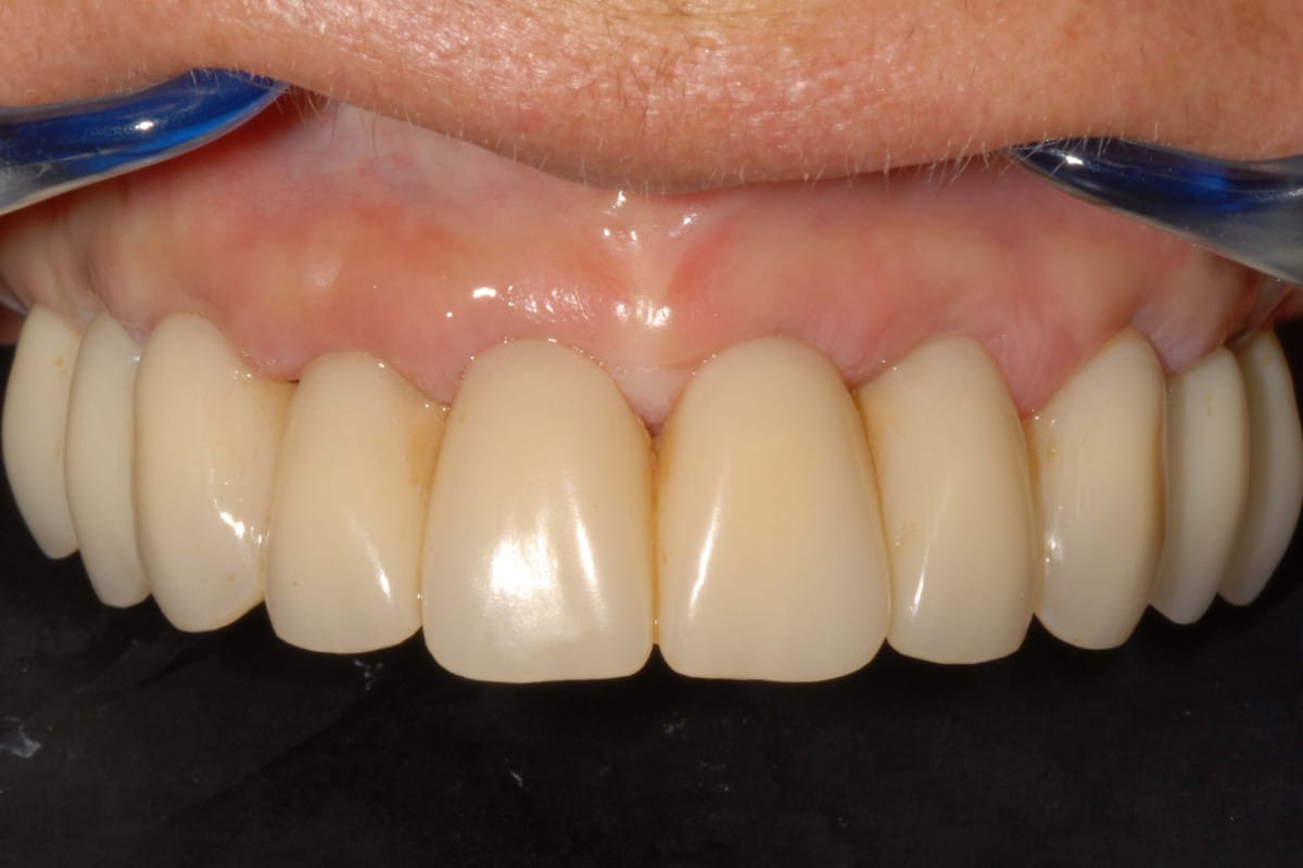
Inoltre, questo intervento di Implantologia dentale carico immediato post-estrattivo è stato effettuato con chirurgia mini invasiva preservando l’integrità dei tessuti e perciò anche a livello estetico il risultato è stato eccellente. Il paziente è tornato dopo 10 giorni per la rimozione dei punti e nella foto sotto si può notare già la buona guarigione dei tessuti.

